Data preparation
Last updated on 2025-09-29 | Edit this page
Overview
Questions
- Why do we divide data into training, validation, and test sets?
- What is data augmentation, and why is it useful for small datasets?
- How can random transformations help improve model performance?
Objectives
- Split the dataset into training, validation, and test sets.
- Prepare image and label arrays in the format expected by TensorFlow.
- Apply basic image augmentation to increase training data diversity.
- Understand the role of data preprocessing in model generalization.
Partitioning the dataset
Before training our model, we must split the dataset into three subsets:
- Training set: Used to train the model.
- Validation set: Used to tune parameters and monitor for overfitting.
- Test set: Used for final performance evaluation.
This separation helps ensure that our model generalizes to new, unseen data.
To ensure reproducibility, we set a random_state, which
controls the random number generator and guarantees the same split every
time we run the code.
TensorFlow expects image input in the format:
[batch_size, height, width, channels]
So we’ll also expand our image and label arrays to include the final channel dimension (grayscale images have 1 channel).
PYTHON
from sklearn.model_selection import train_test_split
# Reshape arrays to include a channel dimension:
# [height, width] → [height, width, 1]
dataset_expanded = dataset[..., np.newaxis]
labels_expanded = labels[..., np.newaxis]
# Create training and test sets (85% train, 15% test)
dataset_train, dataset_test, labels_train, labels_test = train_test_split(
dataset_expanded, labels_expanded, test_size=0.15, random_state=42)
# Further split training set to create validation set (15% of remaining data)
dataset_train, dataset_val, labels_train, labels_val = train_test_split(
dataset_train, labels_train, test_size=0.15, random_state=42)
print("No. images, x_dim, y_dim, colors) (No. labels, 1)\n")
print(f"Train: {dataset_train.shape}, {labels_train.shape}")
print(f"Validation: {dataset_val.shape}, {labels_val.shape}")
print(f"Test: {dataset_test.shape}, {labels_test.shape}")
OUTPUT
---------------------------------------------------------------------------
ModuleNotFoundError Traceback (most recent call last)
Cell In[22], line 1
----> 1 from from sklearn.model_selection import train_test_split
ModuleNotFoundError: No module named 'sklearn'
The error indicates there is a missing module (python package or file).
Exercise
Find and install the missing module.
!uv add scikit-learn
Now re-running the failing step should succeed.
OUTPUT
No. images, x_dim, y_dim, colors) (No. labels, 1)
Train: (505, 256, 256, 1), (505, 1)
Validation: (90, 256, 256, 1), (90, 1)
Test: (105, 256, 256, 1), (105, 1)
Data Augmentation
Our dataset is small, which increases the risk of overfitting, when a model learns patterns specific to the training set but performs poorly on new data.
Data augmentation helps address this by creating modified versions of the training images on-the-fly using random transformations. This teaches the model to become more robust to variations it might encounter in real-world data.
We can use ImageDataGenerator to define the types of
augmentation to apply.
PYTHON
from tensorflow.keras.preprocessing.image import ImageDataGenerator
# Define what kind of transformations we would like to apply
# such as rotation, crop, zoom, position shift, etc
datagen = ImageDataGenerator(
rotation_range=0,
width_shift_range=0,
height_shift_range=0,
zoom_range=0,
horizontal_flip=False)
Exercise
- Read through the documentation for tensorflow’s image data
generator. Modify the
ImageDataGeneratorto include one or more of the following:
rotation_range=20zoom_range=0.2horizontal_flip=True
- The documentation is here.
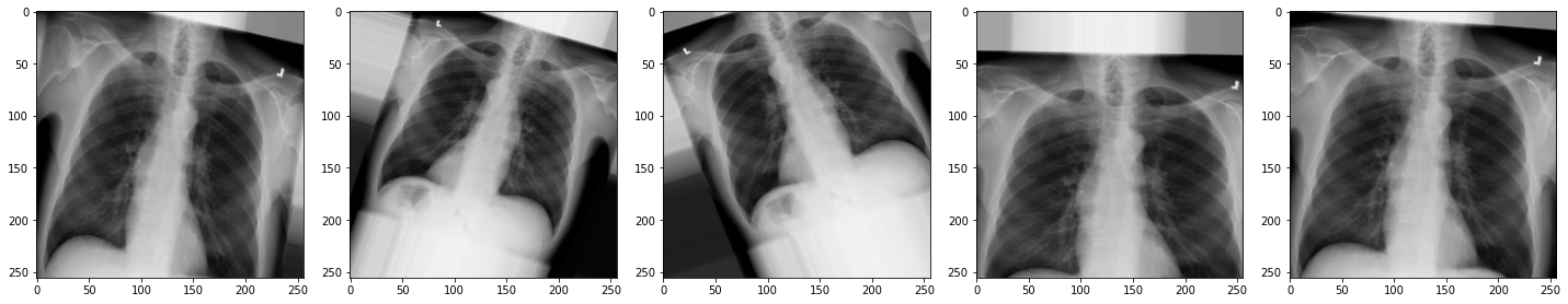
Now let’s view the effect on our X-rays!:
PYTHON
# specify path to source data
path = os.path.join("chest_xrays")
batch_size=5
val_generator = datagen.flow_from_directory(
path, color_mode="rgb",
target_size=(256, 256),
batch_size=batch_size)
def plot_images(images_arr):
fig, axes = plt.subplots(1, 5, figsize=(20,20))
axes = axes.flatten()
for img, ax in zip(images_arr, axes):
ax.imshow(img.astype('uint8'))
plt.tight_layout()
plt.show()
augmented_images = [val_generator[0][0][0] for i in range(batch_size)]
plot_images(augmented_images)

Exercise
- How do the new augmentations affect the appearance of the
X-rays?
Can you still tell they are chest X-rays?
- The augmented images may appear rotated, zoomed, or flipped.
While they might look distorted, they remain visually recognizable as chest X-rays. These augmentations help the model generalize better to real-world variability.
In medical imaging, always consider clinical context. Some transformations, like left-right flipping, could lead to anatomically incorrect inputs if not handled carefully.
Now we have some data to work with, let’s start building our model.
- Data should be split into separate sets for training, validation, and testing to fairly evaluate model performance.
- TensorFlow expects input images in the shape (batch, height, width, channels).
- Data augmentation increases the variety of training data by applying random transformations.
- Augmented images help reduce overfitting and improve generalization to new data.